Бедро
Наш ортопедический центр предлагает различные процедуры в области тазобедренного сустава. Они включают в себя процедуры артроскопии, которые предлагают целенаправленное лечение заболеваний суставов.
Если из-за артроза операция на суставе больше не возможна , cуществуют другие методы замены тазобедренного сустава (например, эндопротезирование).
Мы специализируемся на лечении следующих заболеваний:
Импинджмент тазобедренного сустава
Причиной этого синдрома является врожденный удар кости или несчастный случай, так что головка бедренной кости не попадает в правую полость в идеале, чтобы позволить ей свободно двигаться. В случае любого движения, которое ударяет расширение полости, хрящ повреждается, и сустав может быть разрушен, как показано на следующих рисунках.



При лечении бедренно-ацетабулярного поражения преимущественно артроскопические методы лечения находятся на переднем плане. Это делайтся с помощью 2-4 небольших разреза и специальных инструментов для удаления костных насадо, чтобы тазобедренный сустав на всех 3 уровнях мог продолжать выполнять полное движение, не вызывая механических проблем и боли.

Артроскопическое удаление впадины с новым контуром перехода головы и шеи.
Продолжительность пребывания в стационаре зависит от типа хирургического вмешательства и может длиться от 3-4 дней до недели.
Дисплазия тазобедренного сустава
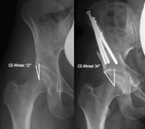
Дисплазия тазобедренного сустава относится к неправильному росту во внутренней полости тазобедренного сустава. Это также может привести к плохой осанке, которая известна как вывих бедра или вывих бедренного сустава. Головка бедра частично или полностью удалена относительно внутренней полости тазобедренного сустава, что означает, что головка не присутствует должным образом во внутренней полости, как показано на следующих изображениях.

Это может привести к повышению давления на область полости, что может вызвать преждевременный износ суставного хряща, что иногда требует замены сустава в раннем возрасте.Лечение: на ранней стадии с незначительным повреждением суставного хряща, есть возможность исправить это отклонение с помощью трехмерных пятен таза, как показано на следующих изображениях.

После операции пациент получит полноценную специализированную реабилитационную программу для достижения хорошего результата после этой сложной процедуры.
Повреждение хряща
Когда необходимо лечение хряща тазобедренного сустава?
С возрастом качество суставного хряща в тазобедренном суставе снижается. Пациент часто жалуется на первую стадию боли, которая часто возникает после длительных периодов упражнений. На данном этапе существует несколько методов консервативного лечения, в том числе: сбалансированное питание, специальные спортивные занятия и специализированная физиотерапия. При увеличении количества жалоб, влияющих на характер жизни пациента (боли во время отдыха, ночные боли и т. Д.), Прибегают к хирургическому вмешательству. В зависимости от степени повреждения хряща с помощью эндоскопии можно использовать различные хирургические методы с помощью ACT или бесклеточной мембраны, называемой AMIC, что помогает поддерживать сустав в течение более длительного периода.

AMIC лечение дефекта хряща на вертлужной впадине.
Как выглядит трансплантация хрящевых клеток для регенерации хряща (ACT) в тазобедренном суставе?
Одним из методов лечения дефектов хряща является артроскопический ACT, при котором собственные хрящевые клетки организма удаляются артроскопически во время первой хирургической процедуры. Kлетки хряща выращивают в течение определенного времени. Затем они вводятся во второй операции по поводу дефекта хряща.

Сфероиды для имплантации при дефекте хряща (© Co.don).
Повреждение лабрума
Правый тазобедренный сустав, построенный из сферической тазобедренной головки, которая равномерно вписывается в тазовое дно, находится прямо в паху, оба из которых покрыты гладким хрящом, удерживает жидкую пленку (синовиальная жидкость) и уменьшает трение во время движения.Если происходит повторное повреждение хряща, могут произойти разрывы, похожие на разрыв ресничного коленного сустава, вызывающий боль, как показано на следующих изображениях.


В этих случаях мы используем эндоскоп после выполнения некоторых необходимых испытаний, таких как магнитный резонанс и рентген, как показано на следующем рисунке.

МРТ с повреждением верхней части тазобедренного сустава.
Преимущество этой техники заключается в том, чтобы поддерживать сустав дольше, не меняя его.Пациентов с необратимой коррозией в хряще сустава заменяют на искусственный сустав.После операции пациент получает полноценную специализированную реабилитационную программу, которая помогает быстрее реабилитироваться.
Сменный протез
целом, тазобедренный сустав, вертлужная впадина или обе части могут расслабиться, что требует операции по замене. В зависимости от размера дефекта кости, для успешного выполнения процедуры замены могут потребоваться обычные эндопротезы или специальные имплантаты.

Асептическое расшатывание, и имплантация ревизионной чашки с помощью конструкции ковша.

Комплексная ревизия множественного предоперационного перелома вертлужной впадины с наклонной и ослабленной ревизионной чашечкой. Изменение на модульную частичную замену таза.

Раннее асептическое расшатывание короткого стволового протеза после 4,5 лет жизни, которое можно заменить на протез стандартного сорта.

Замена стержня протеза тазобедренного сустава при перипротезном переломе из-за ослабления стержня
Минимально инвазивное лечение
В последние годы уровень осведомленности о методах щадящих мышц и суставов в ортопедии значительно возрос. Мышечно-щадящие процедуры дают возможность восстановить качество жизни пациентов за счет быстрой послеоперационной мобилизации и повышения активности. При оперативном лечении бедра выбирается адаптированный разрез кожи, который обеспечивает доступ к тазобедренному суставу без повреждения мышц.

Доступ к тазобедренному суставу во время артроскопического лечения.

Имплантация HemiCAP, которая покрывает локализованный дефект хряща и, таким образом, предотвращает имплантацию эндопротеза тазобедренного сустава.

Лечение локального дефекта с помощью сохраняющего кости протеза HemiCAP.
Эндопротезирование тазобедренного сустава
Когда необходима замена тазобедренного сустава?
В принципе, наша цель – максимально сохранить сустав. Тем не менее, может быть необходимо заменить поврежденный сустав полностью или частично.
Причинами этого могут быть: старение, ревматизм, избыточная масса тела, несчастные случаи (автомобильные аварии, несчастные случаи на работе и т. Д.) И травмы (спортивные травмы, падения и т. Д.)
Мы будем рады уточнить это во время медицинского осмотра и проинформируем вас об альтернативах, а также о возможностях и рисках, связанных с различными методами.
Информацию о различных мерах и операциях в области эндопротезирования тазобедренного сустава можно найти в следующих статьях.
Какой частичный протез используется при повреждении хряща?
В особых случаях с описанными дефектами хряща головки бедренной кости в настоящее время можно проводить частичное коронирование с помощью HemiCAP, которое охватывает только пораженный дефект и впоследствии снова позволяет полностью работать.
Они также могут быть имплантированы с помощью минимально инвазивных методов, поэтому пациенты могут быть выписаны из больницы через несколько дней.

Что именно представляет собой ревизионная артропластика тазобедренного сустава?
В целом, тазобедренный сустав, вертлужная впадина или обе части могут расслабиться, что требует операции по замене. В зависимости от размера дефекта кости, для успешного выполнения процедуры замены могут потребоваться обычные эндопротезы или специальные имплантаты.

Асептическое расшатывание, и имплантация ревизионной чашки с помощью конструкции ковша.

Комплексная ревизия множественного предоперационного перелома вертлужной впадины с наклонной и ослабленной ревизионной чашечкой. Изменение на модульную частичную замену таза.

Раннее асептическое расшатывание короткого стволового протеза после 4,5 лет жизни, которое можно заменить на протез стандартного сорта.

Замена стержня протеза тазобедренного сустава при перипротезном переломе из-за ослабления стержня.



